

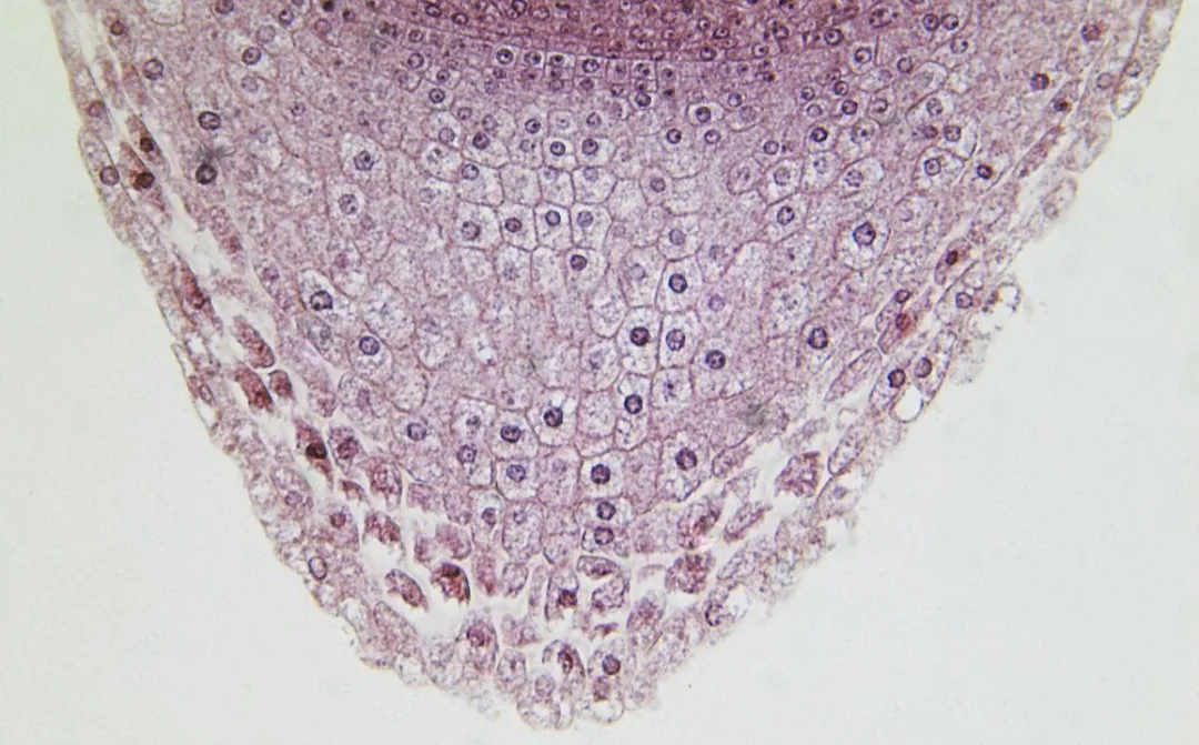
植物根尖纵切
显微镜下的植物根尖纵切
一棵小幼苗是怎样长成参天古木的呢?一般来说种子在一定适宜的温度,适量的水分,充足的空气等条件下就会发芽,发芽后会慢慢的长成一棵小植株。植株是怎样生长的呢?主要包含两个部分:一是地下部分幼根的生长,二是地上部分枝条的发育。今天我们来说一说幼根的生长,要想了解幼根的生长,我们首先要了解幼根的结构。
1

植物根尖基本结构

根尖是指从根的最先端到生着根毛这一段幼嫩部分。长约4-6mm,是根中生命活动最活跃的部分。不论主根、侧根或不定根都具有根尖。根的伸长、对水分和养料的吸收、成熟组织的分化以及对重力与光线的反应都发生于这一区域。由根冠,分生区,伸长区和成熟区组成。在轴向上,根尖的结构一般可以划分为四个部分:根冠、分生区、伸长区和成熟区。水生植物根常不具根冠。各区的细胞行为与形态结构均有所不同,功能上也有差异,但各区间并无明显的界线,而是逐渐过渡的。

2

植物根尖组成部分—根冠

根冠:排列松散,有较薄的细胞壁,当根尖在土壤中生长时根冠起润滑作用,根冠细胞不能分裂,死亡后由分生区补充,有少量的线粒体、内质网、高尔基体、核糖体,没有液泡和叶绿体。
位于根尖最先端的帽状结构,属于保护组织,罩在分生区的外面,有保护根尖幼嫩的分生组织,使之免受土壤磨损的功能。根冠由多层松散排列的薄壁细胞组成,细胞排列较不规则,外层细胞常粘液化,当根端向土壤深处生长时,可以起润滑的作用,使根尖较易在土壤中穿越。其外层细胞常遭磨损或解体死亡,而后脱落。但由于其内部的分生区细胞可以不断地进行分裂,产生新细胞,因此根冠细胞可以陆续得到补充和更替,始终保持一定的厚度和形状。此外根冠细胞内常含有淀粉体,可能有重力的感应作用,与根的向地性生长有关。根的生长是分生区细胞的分裂使细胞数目增多和伸长区细胞的生长使细胞体积不断增大的结果。

3

植物根尖组成部分—分生区

分生区:个体小,排列紧密,有较薄的细胞壁,分裂能力强,因此细胞核较大,拥有大量线粒体、内质网、高尔基体和核糖体,没有液泡和叶绿体。
分生区是具有强烈分裂能力的、典型的顶端分生组织。位于根冠之内,总长为1至2毫米,其最先端部分是没有任何分化的原分生组织,稍后为初生分生组织。可以不断地进行细胞分裂,增加根尖的细胞数目,因而能使根不断地进行初生生长。其细胞形状为多面体,个体小、排列紧密、细胞壁薄、细胞核较大、拥有密度大的细胞质(没有液泡),外观不透明。分生区细胞通过分裂产生新细胞,不断补充伸长区细胞的数量。

4

植物根尖组成部分—伸长区

伸长区:有细胞壁,细胞能够吸水,因此有一定量的线粒体、内质网、高尔基体、核糖体和较小的液泡,没有叶绿体。只有少数细胞能继续分裂。
伸长区位于分生区稍后的部分。多数细胞已逐渐停止分裂,有较小的液泡(吸收水分而形成),使细胞体积扩大,并显著地沿根的长轴方向伸长。伸长区下部细胞较小,越靠近成熟区的细胞越大。细胞一般长约2~5毫米。是根部向前推进的主要区域,其外观透明,洁白而光滑。生长最快的部分是伸长区。

5

植物根尖组成部分—成熟区

成熟区:有细胞壁,不能分裂,死亡后由分生区补充,主要吸收水分和无机盐,拥有较大的液泡,一定量线粒体,少量的内质网、高尔基体和核糖体,没有叶绿体。
成熟区也称根毛区。此区的各种细胞已停止伸长生长有较大的液泡(由小液泡融合而成),并已分化成熟,形成各种组织。内部某些细胞的细胞质和细胞核逐渐消失,这些细胞上下连接,中间失去横壁,形成导管。导管具有运输作用。 表皮密生的茸毛即根毛,是根吸收水分和无机盐的主要部位。根毛是成熟区表皮细胞向外突出的一部分,随着根尖伸长区的细胞不断地向后延伸,新的根毛陆续出现,以代替枯死的根毛,形成新的根毛区,进入新的土壤范围,不断扩大根的吸收面积。

6

显微镜下的植物根尖纵切








